最近枣庄高新区可是热闹非凡呢!一起跟着我,来揭秘一下这起让人瞩目的爆料案件吧!一、案件背景枣庄高新区,这个位于山东省枣庄市的经济...
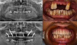
最近佛山那边的种牙事件可是闹得沸沸扬扬的,咱们得好好来聊聊这个话题。你有没有听说,佛山某口腔医院因为种牙问题引发了一场不小的风波...
你知道吗?最近在游戏界可是炸开了锅,因为枫丹最新法器角色爆料来了!这可是让无数玩家兴奋不已的消息,今天我就来给你详细扒一扒这个神...
你知道吗?最近在知乎上,关于超凡先锋的最新爆料可是引起了大家的热烈讨论呢!这不,我就迫不及待地来和你分享一下这些新鲜出炉的信息,...
你听说了吗?最近网上可是炸开了锅,都在热议小米15x的最新爆料图片!这款手机作为小米旗下的新力军,一经曝光就引发了无数科技爱好者...
最近夏哈塔可是娱乐圈的焦点人物呢!你有没有听说,他最近又爆出了什么大新闻?让我来给你一五一十地揭秘保证让你大吃一惊!夏哈塔新恋情...
你知道吗?最近网上可是炸开了锅,因为凤凰卫视的直播间爆出了一个大新闻!这可不是一般的小道消息,而是实实在在的独家爆料,让人忍不住...
最近有没有听说雅迪的新品爆料?没错,就是那个我们每天都离不开的电动车品牌!今天,我就要给你来点独家揭秘,让你提前一睹为快,看看这...
最近网上可是炸开了锅,大家都在热议一个名字——中泽元纪。这位神秘人物最近又爆出了什么大瓜呢?快来跟我一起探个究竟吧!一、神秘人物...
最近在网络上可是炸开了锅,大家都在热议肇东的最新爆料新闻视频!这可是个大事件,咱们得好好来聊聊。你有没有看过那个视频?简直让人瞠...