最近佛山那边的种牙事件可是闹得沸沸扬扬的,咱们得好好来聊聊这个话题。你有没有听说,佛山某口腔医院因为种牙问题引发了一场不小的风波?别急,让我带你一探究竟,看看这背后到底隐藏着怎样的秘密。

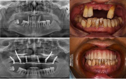
话说这佛山某口腔医院,一直以来都是以专业、正规的口腔医疗服务著称。就在最近,一位患者在医院种牙后,却出现了意想不到的问题。这位患者名叫小李,他在医院种牙后不久,就发现自己的牙齿出现了松动、疼痛等症状。经过一番检查,小李发现牙齿种植体出现了严重的质量问题。

小李在发现牙齿问题后,第一时间向医院提出了投诉。医院方面却以各种理由推脱,拒绝承担责任。无奈之下,小李只能通过网络平台进行爆料,希望引起社会的关注。他的经历很快引起了网友们的热议,纷纷转发、评论,要求医院给出一个合理的解释。

在舆论的压力下,当地卫生部门迅速介入调查。经过一番调查,发现这家口腔医院在种植牙过程中存在诸多违规操作。比如,医院使用的种植体并非正规厂家生产,而是通过非法渠道购入的假冒伪劣产品。此外,医院在手术过程中,还存在操作不规范、消毒不严格等问题。
在调查结果公布后,这家口腔医院不得不向患者和小李道歉。医院表示,将立即停止使用假冒伪劣产品,并对患者进行赔偿。同时,医院还承诺将进行全面整改,加强内部管理,确保医疗质量和安全。
虽然医院已经道歉并承诺整改,但小李的维权之路却并未结束。他表示,自己还将继续关注医院整改情况,确保自己的权益得到保障。同时,他也呼吁广大患者,在就医过程中要提高警惕,避免类似事件再次发生。
这起佛山种牙事件给我们敲响了警钟。专家提醒,在选择口腔医院进行种植牙手术时,一定要选择正规、有资质的医院。同时,要了解种植体的品牌、质量等信息,确保手术安全。
这起佛山种牙事件让我们看到了医疗行业的乱象。希望相关部门能够加强监管,让患者享受到安全、放心的医疗服务。而对于我们普通人来说,提高警惕,选择正规医院,才能避免类似的悲剧再次发生。